Individualiza-se apenas um segmento vascular (seta verde) na projeção dos segmentos A2 das artérias cerebrais anteriores com aneurisma sacular em sua bifurcação (seta vermelha). Achado compatível com variação anatômica das artérias cerebrais anteriores, este achado associa-se com aneurismas saculares.
O BLOG do serviço de diagnóstico por imagem da RA - Radiologistas Associados, que relata e discute casos da rotina diária do Serviço de Telerradiologia.
31 de maio de 2013
23 de maio de 2013
TROMBOSE DAS VEIAS MESENTÉRICA SUPERIOR E PORTA
Paciente do sexo feminino, 66 anos com história de cirurgia recente (correção de hérnia abdominal).
Tomografia sem contraste. Note que é possível observar material espontaneamente hiperdenso na junção esplenoportal, fornecendo indícios de trombose aguda.
Tomografia sem contraste. Note que é possível observar material espontaneamente hiperdenso na junção esplenoportal, fornecendo indícios de trombose aguda.
Tomografia com contraste. Extensa falha de enchimento nas veia porta e mesentérica superior.
As imagens fornecem indícios de trombose recente. As principais características que corroboram para estes achados são: material espontaneamente hiperdenso no interior do vaso (trombo), aumento do calibre dos vasos, adensamento da gordura perivascular e a ausência de circulação colateral significativa.
21 de março de 2013
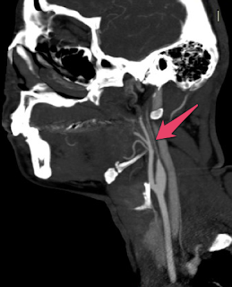
HIPOPLASIA DA ARTÉRIA CARÓTIDA INTERNA
Paciente jovem, do sexo feminino com história de Acidente Vascular Cerebral há 20 anos.
Tomografia no plano axial. Setas indicam os canais carotídeos. O direito com calibre normal e o esquerdo com fino calibre fornecendo indícios de hipoplasia da artéria carótida interna esquerda.
Tomografia MIP, plano sagital com hipoplasia da artéria carótida interna esquerda.
5 de março de 2013
MALFORMAÇÃO ARTERIOVENOSA DA VEIA DE GALENO
Paciente do sexo feminino com 02 anos evoluindo com irritação (cefaleia segundo a genitora) e evidencias clinicas de insuficiência cardíaca.
Reconstrução MIP plano Sagital, onde individualizamos significativa ectasia da veia de Galeno e dos seios venosos com múltiplas estruturas vasculares de fino calibre na projeção esperada para as veias cerebrais anteriores e a porção medial dos talamos.
Reconstrução MIP plano Coronal
Reconstrução VRT Plano Sagital
Segue um link da Radiopaedia com um excelente resumo sobre o assunto http://radiopaedia.org/articles/vein_of_galen_malformation
Assinar:
Comentários (Atom)








